Affordable Dental Veneers Near Me | Dental Veneers Cost Houston

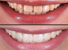
Are you looking for an affordable and convenient option for dental veneers near me in the Houston area? Look no further than Dentist Houston TX! Our skilled and experienced team can provide you with the high-quality veneers you need to achieve the smile of your dreams, and we also offer flexible financing options to make treatment more affordable. Contact Dentist Houston TX clinic today to schedule a consultation!