What Causes Swollen Gums? | How To Get Rid Of Swollen Gums?
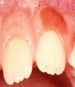
Gums are an imperative component of your oral health. Consisting of a firm, thick, pink tissue that hides the jawbones, gums are extremely vital to be ignored.
Gums are an imperative component of your oral health. Consisting of a firm, thick, pink tissue that hides the jawbones, gums are extremely vital to be ignored.