Benefits of Dental Crown Procedure | Dental Crown Near Me

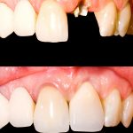
Many patients need a dental crown procedure after a filling or root canal. You may also need one after breaking a tooth. Here are some tips on how to choose the right dental crown near me!