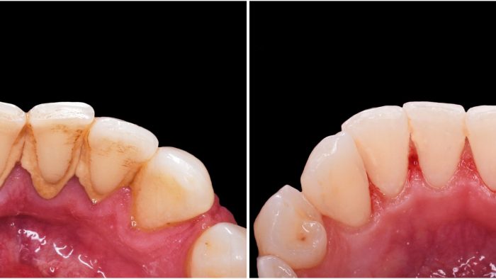
Deep Teeth Cleaning Near Me | Teeth Cleaning Before And After

At Dentist Houston TX, We offer dental deep cleaning services to help keep your teeth healthy and looking their best. Deep cleaning teeth is a more extensive version of regular cleaning and is recommended for those who have build-ups on their teeth, especially around the gum line. During the teeth deep cleaning Procedure, our team of experts will thoroughly clean your teeth, removing any plaque or tartar that has built up. We will also floss and polish your teeth, leaving you with a smile you can be proud of. If you are interested in scheduling deep dental cleaning or have questions about our services, please get in touch with us today. We would be happy to answer any of your questions and help you keep your smile looking its best.