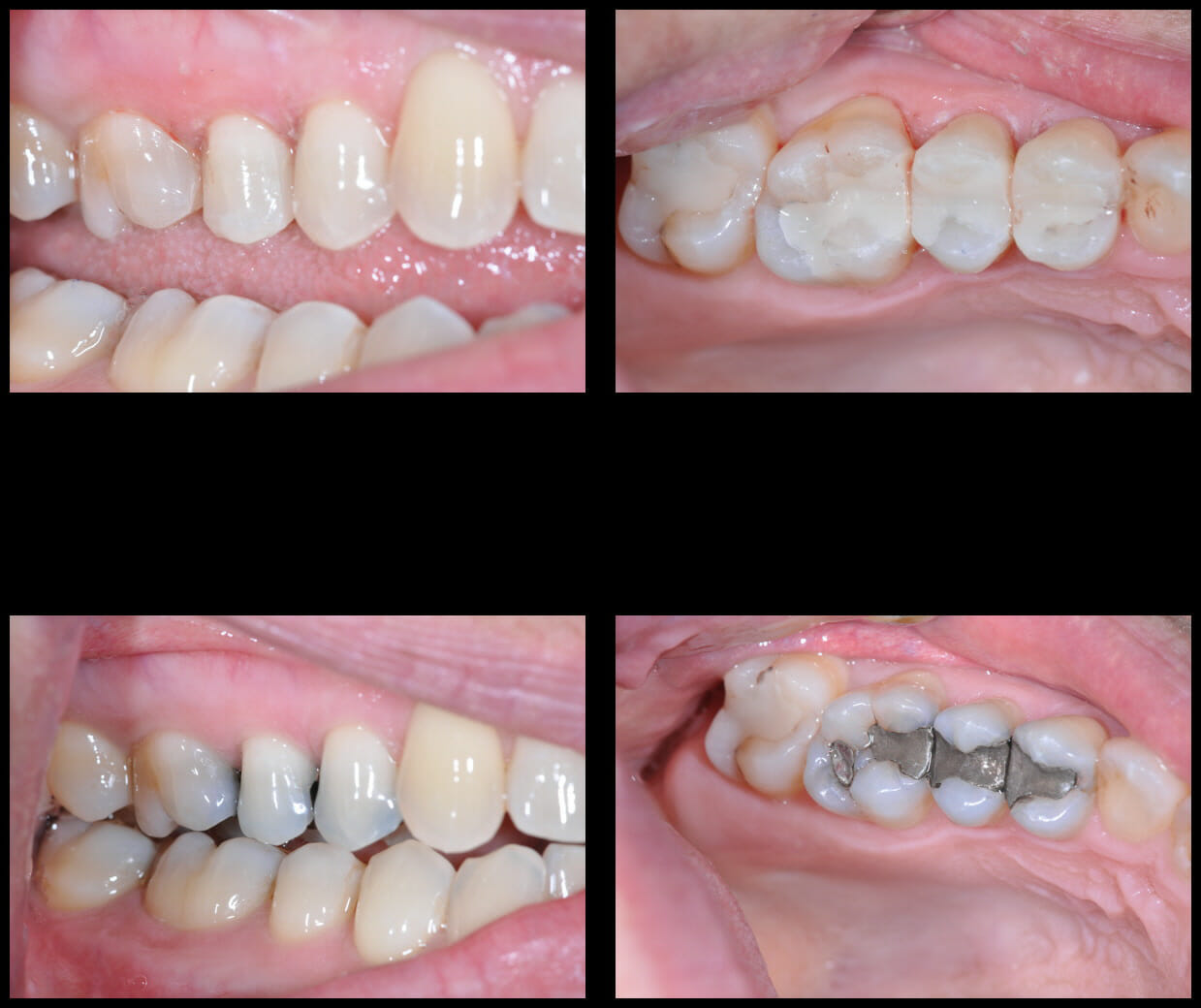
Fix Cavity on Front Tooth | Composite Front Tooth Cavity Filling or Bonding

One of the best ways to preserve your natural-looking smile is to get a tooth-colored filling or crown. If you need a front tooth filling, this is especially important. Call your dentist immediately if you have a toothache or notice a chipped tooth.